Fale Comigo
Whatsapp

hipertensao imagens

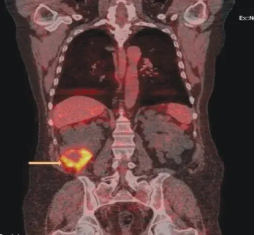
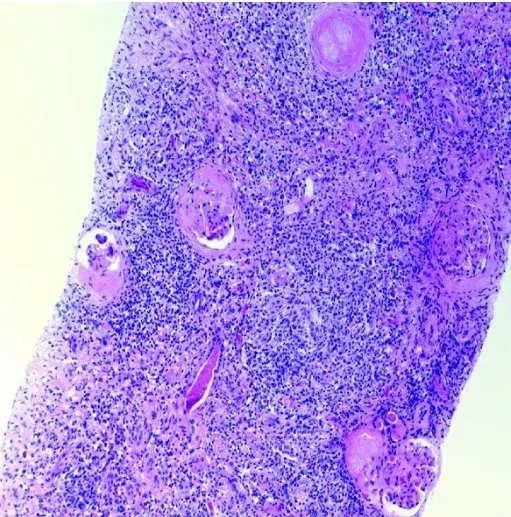
Jovem com hipertensão e massa abdominal

Valkercyo Feitosa

2023-05-02

Recomendação de posts Nefroupdates